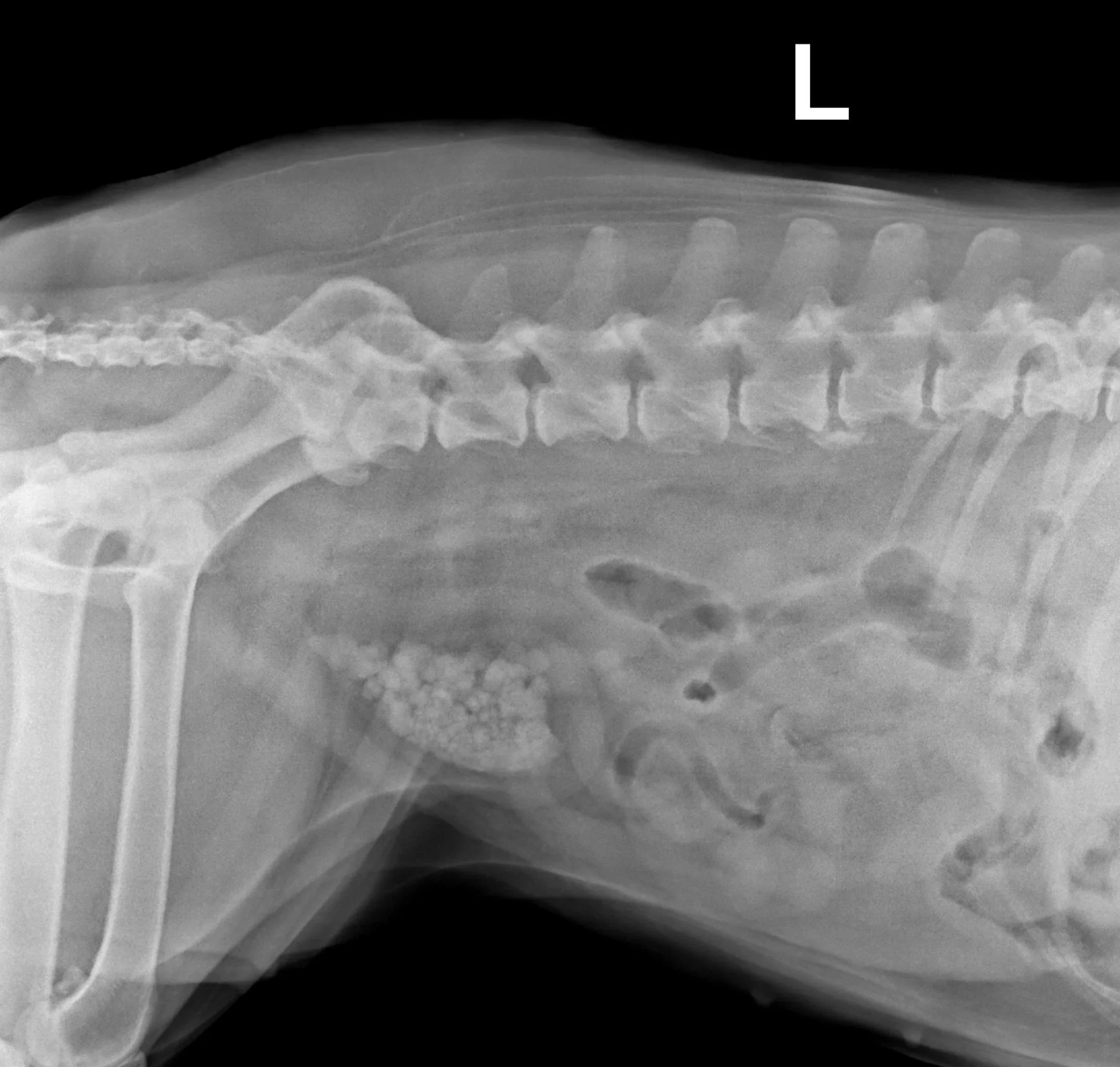
Impressionen aus unserer Praxis
Blasensteine bei einer Hündin, welche wir erfolgreich nach einem operativem Eingriff entfernen konnten.
- 20.03.2026
Impressionen aus unserer Praxis
Blasensteine bei einer Hündin, welche wir erfolgreich nach einem operativem Eingriff entfernen konnten.
- 20.03.2026